당뇨, 고혈압인데도 임플란트 가능한가요?
2025.12.29
안녕하세요.
서울하늘에치과 대표원장,
구강악안면외과 전문의 박민우입니다.
진료실에서 전신질환을 가지고 계신
환자분들께 가장 많이 받는 질문 중 하나가 바로
“당뇨나 고혈압이 있는데
임플란트를 할 수 있을까요?”입니다.
전신질환이 있는 상태에서
수술이 필요하다는 것 자체가
큰 부담으로 느껴질 수 있습니다.
특히 임플란트는
뼈와 잇몸을 직접 다루는 치료이기 때문에,
걱정이 앞서는 것이 당연합니다.
하지만 결론부터 말씀드리면,
당뇨나 고혈압이 있다고 해서
임플란트가 불가능한 것은 아닙니다.
전신질환이
임플란트에 영향을 주는 이유
전신질환 환자분들의 임플란트 치료에서
가장 중요한 부분은 ‘질환 자체’가 아니라
현재의 전신 상태가 얼마나 안정적으로
관리되고 있는가입니다.
· 당뇨 환자의 경우
혈당 조절이 잘 되지 않으면
감염에 대한 저항력이 낮아지고
상처 치유 속도가 느려질 수 있습니다.
· 고혈압 환자의 경우
복용 중인 약물 종류에 따라
출혈 조절이 중요해질 수 있으며
수술 중 혈압 변화에 대한 관리가 필요합니다.
이러한 이유로 과거에는 전신질환 환자에게
임플란트를 조심스럽게 접근하거나
치료 자체를 미루는 경우도 많았습니다.
중요한 것은 ‘질환 유무’가 아닌
‘정밀한 사전 평가’
서울하늘에치과에서는
전신질환이 있는 환자분일수록
다음과 같은 과정을 더욱 중요하게 진행합니다.
· 현재 복용 중인 약물 확인
· 혈당·혈압 조절 상태 체크
· 잇몸뼈의 양과 질, 염증 상태 정밀 분석
· 필요 시 수술 범위 및 단계적 치료 계획 수립
이러한 평가를 바탕으로
환자분의 전신 상태에 맞춘
맞춤형 임플란트 계획을 세우는 것이 핵심입니다.
당뇨·고혈압을 모두 가지고 계셨던
전악 임플란트 케이스
이번에 소개해드릴 환자분은
당뇨와 고혈압, 두 가지 전신질환을
모두 가지고 계셨던 분으로
치아 결손이 광범위해
전악 임플란트가 필요한 상황이었습니다.



· 상악은 잇몸뼈가 매우 얇고 치아가 거의 남아 있지 않은 상태
· 하악은 부분 결손과 앞니의 심한 동요
· 식사가 어려울 정도로 기능 저하가 심한 상태
환자분께서는
“당뇨 때문에 임플란트가 잘 아물지 않으면 어쩌나”,
“틀니를 써야 하는 건 아닐까”라는
걱정을 가장 크게 하셨습니다.
하지만 연령대와 구강 상태를
종합적으로 고려했을 때,
틀니보다 임플란트가 장기적으로
훨씬 안정적인 선택이라고 판단했습니다.
치료 계획 및 수술 과정
이 환자분은 다음과 같은 계획으로
치료를 진행했습니다.
· 수면마취(의식하 진정요법) 하에 진행
· 상악 양측 상악동 거상술 + 임플란트 10개 식립
· 하악 발치 후 결손 부위 포함 임플란트 6개 식립
치료에 대한 긴장감이 크셨지만,
수면마취로 진행하여
수술 중 통증과 불안을 최소화할 수 있었고
수술 후 만족도도 매우 높았습니다.
임시치아부터 최종 보철까지의 과정
수술 직후에는
임시틀니 대신 고정형 임시치아를 적용하여
일상생활과 식사 불편을 최대한 줄였습니다.
· 수술 다음 날 임시치아 장착
· 하악 일부는 2개월 내 조기 보철 완성
· 상악은 뼈이식 안정화를 충분히 거쳐 진행
전신질환이 있어
치료 기간이 길어질 가능성도 고려했으나,
6개월 내 안정적으로
보철을 마무리할 수 있었습니다.
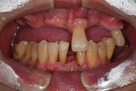
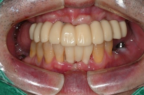
수술 후 4개월
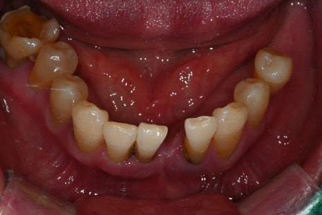
수술 후 6개월 후 보철완료
전신질환 임플란트에서 가장 중요한 것
임플란트 치료는
‘얼마나 빨리 끝나는가’보다
얼마나 안전하고 정확하게 진행되는가가
훨씬 중요합니다.
특히 전신질환이 있는 환자분의 경우
· 의료진의 수술 경험
· 전신 상태에 대한 이해
· 단계별 치료 조절 능력
이 결과를 크게 좌우합니다.
치료 전 / 치료 후







전신질환이 있어도, 기준은 분명합니다
당뇨·고혈압이 있다고 해서
임플란트를 포기하실 필요는 없습니다.
다만,
· 정확한 진단
· 환자 상태에 맞는 치료 계획
· 숙련된 의료진의 수술 경험
이 반드시 전제되어야 합니다.
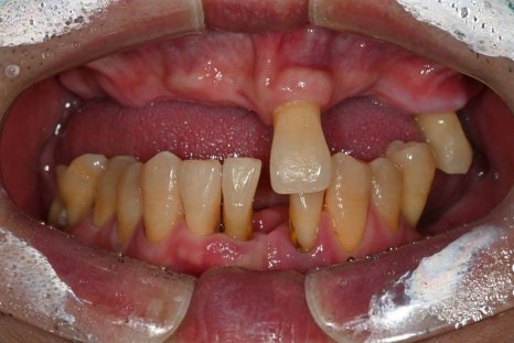
치료 전
치료 후
서울하늘에치과는
전신질환 환자분들도 안전하고
예측 가능한 임플란트 치료를 받을 수 있도록
항상 기준을 지키는 진료를 이어가고 있습니다.
전신질환으로 임플란트 치료를
고민하고 계시다면,
현재 상태에 맞는
정확한 진단부터 받아보시길 권해드립니다.