임플란트 치료 기간, 어떻게 지내야하나요?
2025.12.29
안녕하세요.
서울하늘에치과 원장 박민우 입니다.
임플란트가 많이 대중화되었지만
여러 치과 치료 중에서
임플란트 치료는
아직 비교적 긴 치료기간과
많은 노력이 필요한 치료로 알려져있습니다.
임플란트에서 뿌리 역할을 하는
픽스쳐를 잇몸뼈에 심고 나면
임플란트가 잇몸뼈와 굳어지는
골유착(osseointegration)이 일어나야하는데
그 기간이 2개월 이상 걸릴 수 있기 때문입니다.
이러한 치료 기간을 줄이기 위해
많은 시도와 연구들이 있어왔고,
지금 저희 치과에서도 활용하고 있는 많은 기술들이
실제로 과거에 비해서
임플란트 치료 기간을 많이 단축시켰습니다.
뼈에 잘 붙는 임플란트? 자외선 임플란트!
그럼에도 불구하고
임플란트의 긴 치료기간,
또 치아가 없이 지내야 한다는 걱정때문에
임플란트 치료를 선뜻
시작하지 못하는 분들이 계신데요.
특히 많은 치아를 상실하고
전체 임플란트를 해야하는 어르신 분들은
짧은 기간이라도 영양섭취가 충분하지 못하면
건강에 영향이 있을 수 있고,
젊은 분들이라도 앞니 임플란트를 해야하는 경우는
앞니가 없거나 틀니 형태의 임시치아로 지내는 것은
사회생활에 큰 불편함을 초래할 수 있습니다.
결국 지나갈 시간이기에
'임시치아'를 만들어서 사용한다고 하지만,
사실 저는 '임시'라는 말을 별로 좋아하지 않습니다.
아무리 잠깐이라도,
환자의 몸에 하는 의료행위에
임시방편이라는 것은 없다고 생각하기 때문입니다.
사실 원래 정식 명칭도
잠정(provisional), 예비(preparatory) 치아라고 하여
최종 치아를 준비하는 치료의 중요한 과정인데,
다만 아직까지는 임시치아라는 말이
환자분들께는 더 익숙하기는 합니다.
'어떻게 하면 치아가 없이 불편한
임플란트 치료 기간을 줄일 수 있을까?'
'어떤 임시치아를 사용해야 치료 결과를
더 좋게 하면서 환자도 불편하지 않을까?'
임플란트 치료를 계속하는 한
끝없는 숙제일 것 같습니다.
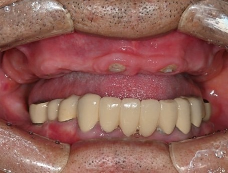
"맞닿는 이가 없어서 식사가 아예 불가능해요"
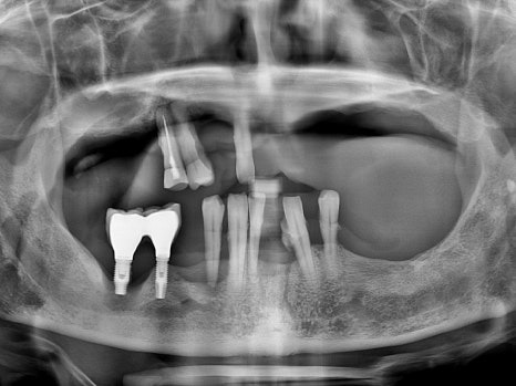
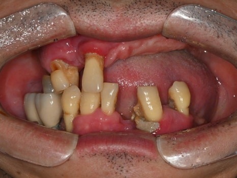
치료 전 파노라마
치료 전 사진
오래 전 임플란트 치료를 하였지만
염증으로 인해 모두 빠져버린 상황에서
오른쪽 하나만 닿는 어금니로 식사를 하고 계시던 중,
위쪽 치아마저 아파지면서
식사가 아예 불가능하게 되었다고 하셨습니다.
남은 치아는 모두 발치해야 하는 상황,
지금 전체 틀니를 만들어서 적응하기에는
너무 오랜 시간이 필요하고
크게 고생하실 것이 불보듯 했습니다.
다른 병원도 가보았지만
이 같은 어려움으로 치료가 힘들다고
들으신 상태였습니다.
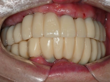
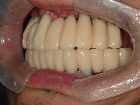
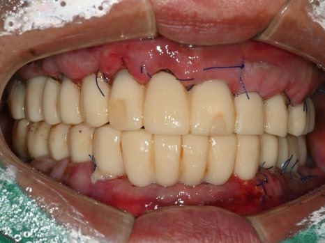
수술 당일
수술 2일 후
직장에서 시간을 내기가 어려우신 상황이라
토요일 오전,
수면마취로 17개의 임플란트를 식립하였고,
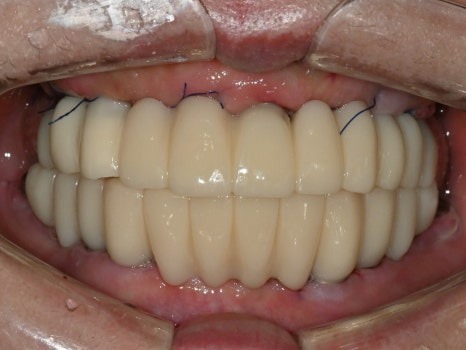
월요일에 임플란트 즉시 기능 치아(임시치아)를 끼워드렸습니다.
치료 전
수술 2일후
몇 개월이고 기약 없이 임시 틀니를 써야한다는 걱정에
치료를 시작하지 못하셨던 환자분은
수술 2일 만에 고정된 치아가 완성되자
놀라워하시면서 식사가 가능하게 된 걸
너무 좋아하셨습니다.
"지금 78세인데,
전체 임플란트 치료를 시작할 수 있을까요?"

오래 사용하시던 부분 틀니는
남은 치아가 부러지면서 사용할 수 없게 되었고,
기존 치과에서는
전체 틀니를 해야 한다고 들으셨지만,
보호자분들은 환자분이 고령이셔서
지금보다 식사가 힘들어지면
건강에 큰 영향을 미칠까 걱정하셨습니다.
CT 분석을 통해 틀니가 아닌
고정성 임시치아가 가능하다고 말씀을 드리자
임플란트로 치료 계획을 결정하셨습니다.
수술 후
디지털 방식으로 제작된 임시치아
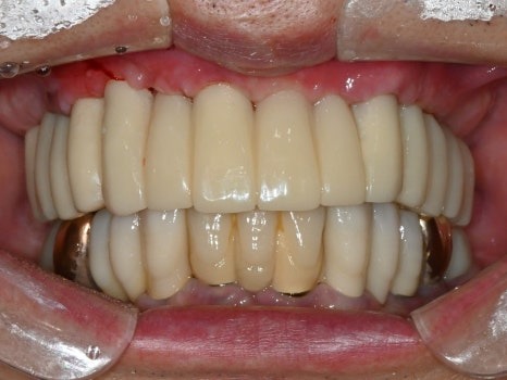
8개의 전체임플란트를
하루에 바로 수술할 수 있었고,
병원 내의 디지털기공소에서
바로 임시치아를 제작하였습니다.
수술 전
수술 1일 후
하루만에 위턱 전체 치아가 생겨서
식사가 바로 가능하시게 되자
환자분은 너무 놀라워하시고 좋아하셨습니다.
디지털 임시치아는
컴퓨터(CAD) 상에서 디자인하고
3D 프린터, 밀링 머신(CAM)으로 가공하기 때문에
손으로 빚어서 만드는 임시치아보다
훨씬 단단하고 심미적이며,
임시치아라고 해도 3개월,
길게는 1년 이상까지도 사용하면서
임플란트 치아에 적응하는 시간도 가질 수 있습니다.
"하루만에 치아가 다 생겼어요"
서울하늘에치과의 디지털 임시치아
좋은 계획과 기술로 만들어진 임시치아는
불과 몇 시간만에 환자분의 생활을
극적으로 달라지게 할 뿐만 아니라
환자와 의료진의 신뢰 관계를 증진시켜서
향후 치료 과정을 수월하게,
결과를 훌륭하게 만들 수 있습니다.
환자를 위해서 항상 연구하고 노력하는
서울하늘에치과가 되겠습니다.