loading

수면 치과 치료

아프고 무서워서 걱정이라면?

치과 의자에 앉는 순간 심장이 빨라지고, 주사, 소리, 시각이 두려움이 되는 분들이 있습니다.
또 기구만 들어가도 구역질이 나서, 마취가 도저히 안되어서 치과 치료가 두려운 분들도 있습니다.

저희는 그 마음을 탓하지 않습니다.
통증에 예민하거나, 과거 힘든 경험이 있다면 누구에게나 두려움이 있을 수 있습니다.

중요한 것은 억지로 참는 치료가 답은 아니라는 것.
환자에게 맞는 또 다른 길이 있습니다.

의식하진정법(수면마취)란?

치과 수면마취의 정식 명칭은 ‘의식하진정법’으로,
환자가 가수면 상태에서 편안하게 치과 치료를
받을 수 있도록 돕는 방법입니다.

SEOUL SKY DENTAL CLINIC

약물로 불안을 낮추고, 통증을 줄이며, 치료 중 힘든 기억을 없애서
훨씬 수월하게 치료받을 수 있습니다.

전신마취와 달리 일정 정도의 의식이 있는 상태로, 환자는 의료진의 지시에 반응할 수 있고 스스로 호흡도 할 수 있어 보다 안전합니다.

수면마취 치료 종류

  • 수면마취
    임플란트

    여러 개 임플란트 시술, 발치,
    상악동거상술 병합수술 시

  • 수면마취
    사랑니 발치

    깊게 매복된 사랑니, 신경과 가까운
    고난이도 발치 시

  • 수면마취
    충치/신경 치료

    치료 공포증이 있는 경우
    충치, 신경 치료 시

어떤 분들에게 필요한가요?

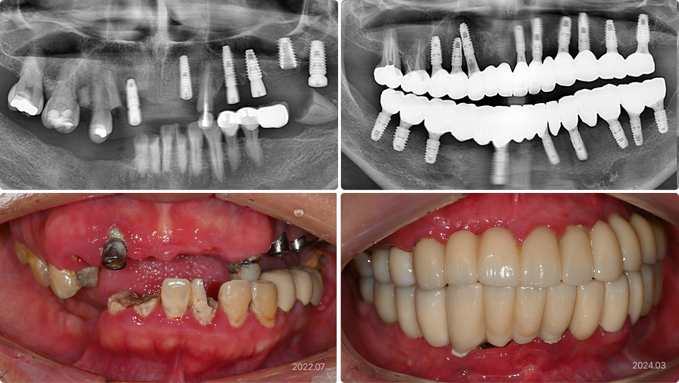
다수의 임플란트를 식립하는 경우

“치아가 거의 없어 전체 임플란트를 해야했는데 엄두가 안났어요.”

치료 전
치료 후

치료 내용

  • 다수 치아 발치 및 돌출은 전체 발치 후 임플란트 식립
  • 의식하진정법(수면마취)으로 상하악에 17개 임플란트 식립, 씹기 기능 회복
  • 1주일에 예비치아 장착, 4개월 만에 최종치아 완성

국소마취가 잘 안되는 경우

“치과 치료받을 때마다 마취가 잘 안돼서 걱정돼요.”

치료 전
치료 후

치료 내용

  • 어금니가 부서지고 아픈데 치과에서 국소마취가 너무 안돼서 치료를 못 받음
  • 의식하진정법(수면마취)으로 안정 후 충분한 마취 하에 하루에 다수 치료
  • 수술 후 연결되어 있는 정맥주사로 무통 주사 진통제 투여

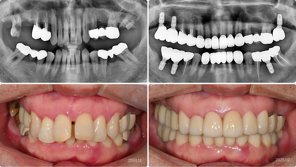
치료 기간을 단축하고 싶은 경우

“안 아프게, 최대한 빨리 치료를 마무리하고 싶어요.”

치료 전
치료 후

치료 내용

  • 직장 사정으로 긴 치료기간과 잦은 내원이 불가하여 방치된 치아
  • 의식하진정법(수면마취)으로 네 군데의 임플란트 수술, 전체 앞니 심미 보철 시행
  • 힘든 진료를 모아서 시행하였고, 임플란트도 3개월만에 최종 완성

치과 공포증, 통증에 민감한 경우

“타 치과에서 치료받다가 치과 공포증이 너무 심해서 치료를 중단했어요.”

치료 전
치료 후

치료 내용

  • 타병원에서 치료 중 치과 공포가 너무 심해서 중단하여 방치된 상태
  • 의식하진정법(수면마취)으로 전체 임플란트, 뼈이식, 타치과 임플란트 보철 등 시행
  • 이후 모든 치료를 수면 마취하에 수월하게 진행

왜 서울하늘에 수면 치과 치료인가?

많은 병원들이 수면치료(의식하진정법)를 만능처럼 말하지만, 사실은 그렇지 않습니다.
진정은 치료의 본질을 바꾸는 마법이 아니라, 불안-통증을 관리해 치료를 완주하게 돕는 도구입니다.

그래서 서울하늘에치과는 안전을 가장 먼저 두고,
꼭 필요한 만큼만 효과적으로 활용합니다.

서울하늘에 수면 치과 치료의 특별함

  • 풍부한 임상 경험의 구강악안면외과 전문의

    서울대학교 치과병원 구강외과에서 수술, 마취, 위험 상황에 대한
    체계적인 훈련과 임상경험을 쌓은 대표원장이 진정과 수술을
    하나의 계획으로 설계하여 보다 안전합니다.

  • 가장 안전한 항불안제 미다졸람 사용

    임상에서 폭넓게 쓰이는 벤조디아제핀계 표준 약물로
    작용 시작, 회복이 예측 가능하고, 필요 시 역전제(플루마제닐)를
    사용하여 바로 회복할 수 있기 때문에 안전합니다.

  • 정맥주사를 사용하여 즉각적인 약물 조절, 역전제 사용 가능

    개인 반응에 맞춰 실시간으로 진정된 깊이를 조절할 수 있고,
    목표보다 깊이 진정되면 역전제 투여로 빠르게 깨어날 수 있어
    안전합니다.

  • 철저한 안전 모니터링 시스템

    SpO₂·혈압·심박·호흡을 연속 관찰하고, 약물·반응을
    시간대별로 기록하며, 응급약·기도 확보 장비·시나리오
    훈련을 상시 유지합니다.

  • 독립된 수면치료 공간

    시술과 회복실이 분리된 전용 동선으로 소음과 빛을 최소화합니다.
    회복 기준을 충족할 때까지 관찰 후 보호자 동반 귀가를 원칙으로 합니다.

수면 치과 치료 과정

후기가 증명하는 서울하늘에치과 수면 치과 치료

수면 치과 치료 자주 묻는 질문

A

수면마취에 주로 사용하는 미다졸람은 안전성이 입증된 약물입니다. 다만 개인의 건강 상태나 체질에 따라 어지럼증, 졸림, 기억 공백 등의
가벼운 부작용이 있을 수 있으며 대부분 시간이 지나면 자연스럽게 회복됩니다. 약물의 용량과 환자가 약물을 받아들이는 능력에
따라 부작용의 위험이 있을 수 있기 때문에 경험이 풍부한 전문의료진에게 치료 받으시는 것이 좋습니다.

A

수면마취(수면진정요법)는 전신마취가 아닌, 호흡을 유지하면서 편안히 치료받을 수 있는 방법입니다. 짧은 작용의 약물을 사용하고,
혈압·맥박·산소포화도를 실시간 모니터링하기 때문에 안전합니다. 다만, 기저질환이 있는 경우 사전 검사가 필요하며, 반드시 숙련된 의료진이
진행해야 안전합니다.

A

대부분은 효과가 잘 나타나지만 불안감이 심하거나 특정 약물 대사에 차이가 있는 경우에는 약효가 다르게 느껴질 수 있습니다.
이런 경우 의료진이 약물 용량과 방법을 조절할 수 있도록 정맥주사 진정법을 사용하는 것이 좋습니다.

A

치료 과정에서 통증은 최소화되며, 대부분 환자가 “치료받은 기억이 거의 없다”고 말할 정도로 편안하게 진행됩니다.
다만 치료 후 마취가 풀리면 수술 범위에 따라 약간의 불편감이 있을 수 있습니다.

  • · 개인에 따라 치료 결과는 다를 수 있습니다.
  • · 붓기, 보기, 통증, 심미성 등의 차이가 나타날 수 있습니다.
  • · 수술 전 반드시 의료진과 충분한 상담 후 진행하시길 바랍니다.

상담문의