loading

고난이도 임플란트
어려울수록, 결과의 차이가 명확합니다.

임플란트 치료, 쉬운 경우라면 어느 치과의사나 할 수 있습니다.
하지만 어려운 경우에는 단순히 ‘심는 것’만으로 끝나지 않습니다.

잘못된 치료 계획이나 미숙한 술식은 오히려 환자에게 더 큰 고통과 불편을 남길 수 있습니다.

문제는 환자 입장에서는 어떤 임플란트가 어려운 경우인지 알기 어렵다는 것입니다.
그래서 다음과 같을 때에는 반드시, 고난이도 임플란트를 잘하는 병원을 찾아야 합니다.

어떤 경우가 고난이도인가요?

앞니 임플란트

앞니의 가장 중요한 기능은
심미입니다.

앞니의 역할은 베어 물기(저작)와 발음 보조, 입술 지지 등 다양하지만,
실제 생활에서 앞니의 가장 중요한 기능은 심미, 즉 보이는 아름다움입니다.

앞니 임플란트의 목표는 단순히 ‘씹을 수 있게’ 만이 아니라,
자연스럽고 편안히 말하고 웃을 수 있도록
이 되어야 합니다.

단 0.5mm의 차이로도 결과는 달라질 수 있습니다.

앞니 주변의 잇몸은 어금니에 비해 얇고 약하기 때문에
임플란트 후 잇몸이 쉽게 꺼지거나 임플란트가 검게 보이기 쉽습니다.
임플란트의 단 0.5mm의 위치 차이로도 보이는 결과가 크게 달라질 수 있습니다.
그래서 임플란트 치료 중에서도
앞니 임플란트는 어렵습니다.

서울하늘에치과는
수술의 원칙을 지키고, 디지털로 완성합니다.

1. 정밀 계획

디지털 시뮬레이션(CBCT, 구강 스캐너)으로
가장 적합한 임플란트 위치를 계획합니다.

2. 안정적인 수술

뼈가 얇거나 무너진 잇몸을 정밀 골이식(GBR), 결합조직 이식,
자가혈(PRF) 등을 활용하여 두께와 안정성을 보강합니다.

3. 심미 보철

발치 즉시 임플란트, 즉시 수복으로 하루 만에 앞니의 빈자리를
회복합니다. 즉시 앞니를 회복하여 잇몸이 무너지는 것을 막고,
잇몸 라인을 최종 치아에 맞게 심미적으로 만들어줍니다.

서울하늘에치과
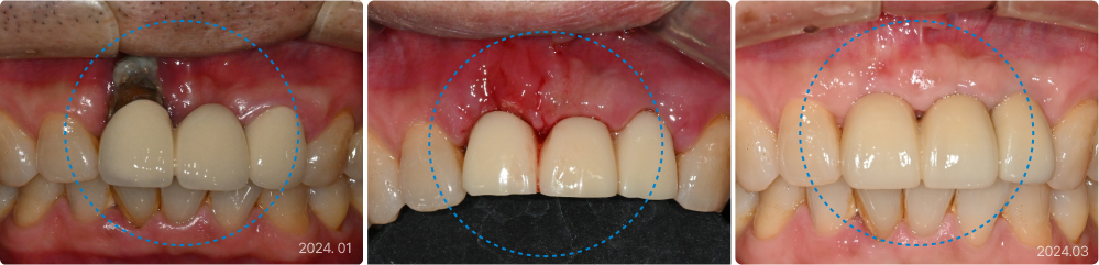
앞니 임플란트 치료 사례

93세, 남
”앞니 뿌리가 다 드러났어요, 너무 보기 싫고 흔들리고 아파요.”
치료 전
발치 즉시 식립, 즉시 예비치아
2개월 후 완성
치료 전
  • 오랜 치주염으로 잇몸이 흡수되어 잇몸뼈와 잇몸이 다 상실되고,
  • 치아 뿌리가 드러난 상태
치료 후
  • 발치 즉시 식립, 자가혈 동반 골이식, 결합조직 이식
  • 즉시 예비치아로 2개월만에 심미 회복 완성
더 많은 치료 사례 보기

전신 질환 임플란트

당뇨, 고혈압, 골다공증 약물 때문에 임플란트 포기해야 할까요?

당뇨, 고혈압, 혈전 용해제, 골다공증 약물, 심혈관 질환 등의 전신 질환은
임플란트 수술과 회복 과정에 직접적인 영향을 주기 때문에 철저한 사전 평가와 안전 프로토콜이 필수입니다.

전신질환 임플란트의 핵심은 안전입니다.

전신질환 환자의 임플란트는 질환 자체 + 약물 반응 + 수술 스트레스라는
세 가지 복합 위험 요인을 안고 진행됩니다.

  • 당뇨 : 혈당이 높으면 감염 위험 증가, 상처 치유 지연 가능
  • 고혈압, 심혈관 질환 : 출혈 증가, 수술/치료 스트레스가 위험 요인으로 작용
  • 골다공증 약물 : 장기간 투여 후 임플란트 수술 시 턱 뼈 괴사 위험 가능성
  • 혈전 용해제 : 지혈의 어려움, 임의 중단 시 합병증 발생 가능성
그래서 전신질환 환자의 임플란트는 어렵습니다.
전신 질환 임플란트 치료의 핵심,
제대로 알고, 정확히 대처하는 것입니다.

고혈압, 당뇨, 골다공증 등의 전신질환 환자의 임플란트 치료는 전문의의 풍부한
경험과 체계적인 접근이 함께할 때 성공할 수 있습니다.

치과의사는 입 안 수술에 영향을 미치는 전신질환, 약물에 대해 잘 알고 있어야
하며, 주치의와의 협진을 통해 환자의 상태를 정확히 파악하고 가장 안전한 계획을
수립해야 합니다.

서울하늘에치과는 수면마취(의식하진정법), 구강스캐너 사용으로
환자의 불안과 스트레스를 최소화하고 있습니다.

서울하늘에치과
전신질환 임플란트 치료 사례

68세, 남
“당뇨가 있어서 걱정되어 임플란트를 못하고 이가 없는 채로 한참 지냈어요.”
치료 전
치료 후
치료 전
  • 어금니가 없어서 식사가 힘든 상태
  • 영양 섭취가 잘 되지 않아 혈당 조절이 어려움
치료 후
  • 내과 주치의와 협진 후 혈당 관리 최적화 치유 지연 없이
    2개월만에 완성
더 많은 치료 사례 보기

뼈이식 임플란트

잃어버린 뼈를 되살려야 임플란트가 가능합니다.

임플란트는 가능한 본래의 잇몸 뼈에 심어야 안정적으로 붙고, 오래 유지됩니다.
하지만 발치 후 시간이 오래 지났거나, 염증으로 뼈가 많이 흡수된 경우에는
잇몸 뼈 자체가 부족해 임플란트 식립이 어렵습니다.
이때 필요한 치료가 ‘뼈이식 임플란트’입니다.

뼈이식 수술도 결국 ‘수술’
입 안 수술의 전문가는 ‘구강외과 전문의’입니다.

뼈이식은 단순히 뼈를 넣는 것이 아니라,
재생 환경을 만들어내는 고난이도 수술입니다.
이식한 재료가 모두 뼈로 바뀌는 것이 아니며,
공간 유지, 감염 관리, 잇몸 봉합,
혈액 공급 유지 등 여러 조건이 잘 맞아야 이식해 넣은 재료의 일부분이
비로소 잇몸뼈로 재생될 수 있습니다.

그래서 뼈이식 임플란트 수술은 어렵습니다.
자가혈 임플란트, 고난이도 뼈이식의 해답이 될 수 있습니다.
뼈이식 임플란트 성공률을 높이는 핵심 솔루션

자가혈(PRF, Platelet-Rich Fibrin) 임플란트
자가혈은 환자 본인의 혈액을 원심 분리하여 얻는 농축 혈소판과 섬유소입니다.

PRF는 내 몸에서 나온 성분으로 가장 안전하면서도
뼈, 잇몸 재생과 치유를 앞당기고 감염 위험을 줄여줄 수 있습니다.
또 많은 양의 뼈이식에도 안정적이고 효과적인 치료가 가능합니다.

자가혈의 장점
포함 성분 장점
혈액의 성장인자 뼈와 잇몸 재생 촉진
혈관 신생 촉진
섬유소 이시개를 고정하여 안정화
백혈구 염증조절, 감염 예방
혈장 단백질 회복 환경 개선

서울하늘에치과
뼈이식 임플란트 치료 사례

59세, 여
“잇몸에서 피가 많이 나고 냄새가 나요.”
치료 전
치료 후
치료 전
  • 오랜 잇몸 염증과 임플란트 주위 염증으로
    잇몸뼈가 다 흡수되고 부족한 상태
치료 후
  • PRF를 동반한 뼈이식, 상악동거상술로
    안정적으로 뼈를 증가시켜 임플란트 무사히 완료
더 많은 치료 사례 보기

상악동 거상술

위턱 어금니는 잇몸뼈가 부족하기 쉽습니다

위턱 어금니는 해부학적으로 상악동(코 옆 빈 공간)이 크게 자리 잡고 있어서,
뼈가 아주 얇거나 거의 없는 경우가 많습니다.

 

임플란트를 심을 뼈의 높이가 부족할 때 바로 이 상악동에 뼈를 만드는
상악동 거상술(상악동 골이식)이 필요합니다.

상악동 거상술, 왜 어려울까?

임플란트를 심으려면 최소 10mm 깊이의 잇몸뼈가 필요합니다.
위턱 어금니는 잇몸뼈가 아주 적은 경우가 흔하며 이때 필요한 것이 상악동 거상술 입니다.
남은 뼈와 점막이 매우 얇고 약한데, 찢어지거나 구멍이 생기면 축농증과 같은 합병증이
생기기 때문에 여기에 뼈이식을 하는 상악동 거상술은 고난이도 수술입니다.

그래서 상악동 거상술은 어렵습니다.

상악동 거상술도 결국, 수술입니다.

상악동 거상술은 치과에서 시행되는 수술 중 가장 난이도가 높은
수술 중 하나라고 할 수 있습니다.
그리고 입 안 수술의 전문가는, 구강악안면외과 전문의입니다.   구강악안면외과 전문의는 턱과 얼굴의 뼈, 신경, 혈관의 구조를 누구보다
잘 이해하고 있으며, 수술에 특화된 전문가일 뿐만 아니라 상악동 거상술에서
발생할 수 있는 위험 상황에도 즉각적으로 대응할 수 있습니다.

서울하늘에치과
상악동 거상술 치료 사례

62세, 남
“위턱에 뼈가 하나도 없어서 임플란트를 못 한다고 했어요.”
치료 전
치료 후
치료 전
  • 상악동(빈 공간)이 커서 잇몸뼈가 1mm도 남지 않음
치료 후
  • PRF를 동반한 뼈이식, 상악동거상술로 안정적으로 잇몸뼈를
    증가시킴
더 많은 치료 사례 보기

임플란트 재수술

한 번 실패한 임플란트,
다시할 수 있을까요?
seoul sky dental clinic
임플란트는 올바른 계획, 정확한 수술, 꾸준한 사후관리만 되면 오래 사용할 수 있지만,
드물게는 임플란트 주위염, 잘못된 식립 위치, 보철 불량 등으로 실패할 수 있습니다.
이 경우 오염된 임플란트는 제거하고, 뼈와 잇몸 상태를 다시 회복시켜 새로운
임플란트로 치료하는 것이 필요합니다.

재수술은 처음보다 더 어렵습니다.
이미 실패한 자리에는 염증 흔적이나 뼈 결손이 남아 있어서, 단순히 임플란트만 제거하고 다시 심는다고
해결되지 않습니다.
잇몸뼈를 최대한 보존하며 오염된 임플란트를 잘 제거해야 하고, 다량의 뼈이식이 동반되는 경우가 많으며,
잘못된 보철물 등 기존 임플라트의 실패 원인을 반드시 찾아내야 합니다.

그래서 임플란트 재수술은 어렵습니다.
실패의 ‘원인’을 아는 것이 ‘실력’입니다.

임플란트를 다시 해야 한다면, ‘왜 실패했는지’부터 정확히 찾아야 합니다.
원인을 알아야 해결책을 찾고 실패를 반복하지 않을 수 있습니다.
임플란트 재수술도 결국, 수술입니다.

임플란트 재수술 바로가기

고난이도 임플란트 자주 묻는 질문

Q

뼈이식은 반드시 필요한가요?

A

임플란트는 충분한 잇몸 뼈가 있어야 안정적으로 심어지고 오래 유지됩니다.
뼈가 부족한 경우에는 뼈이식이 필요하며, 치아 기능과 심미 회복을 위해 필수적인 과정입니다.

Q

당뇨 환자는 임플란트를 할 수 없나요?

A

당뇨 환자도 가능합니다.
단, 혈당 관리 상태를 확인하고, 내과 주치의와 협진하여 안전한 수술 계획을 세워야 합니다.
적절한 관리와 전문적 수술로 치유 지연 없이 안전한 임플란트가 가능합니다.

Q

나이가 많으면 임플란트가 어려운가요?

A

연령 자체는 큰 문제가 되지 않습니다.
다만 골밀도, 전신 건강, 치아 상태 등을 종합적으로 평가해야 합니다.
정밀 진단과 전문적인 계획으로 나이가 많아도 안전하고 성공적인 임플란트가 가능합니다.

Q

고난이도 임플란트 비용은 어느정도 되나요?

A

비용은 치료 난이도, 수술 방법, 뼈이식·PRF 등 보조 치료 포함 여부에 따라 달라집니다.
정확한 비용은 정밀 검진 후 맞춤 계획을 기반으로 안내받는 것이 가장 정확합니다.

Q

어떤 병원에서 수술하는게 가장 좋은가요?

A

난이도가 높은 임플란트일수록 병원 선택이 성공과 안전을 결정합니다.
구강악안면외과 전문의가 직접 수술하는 곳, CBCT, 디지털 스캐너 등 정밀 장비와 디지털 시뮬레이션이 가능한 곳, 전신질환 관리, 응급 대응, 안전 프로토콜이 확립된 환자 중심 병원을 선택하는 것이 도움됩니다.

  • 개인에 따라 치료 결과는 다를 수 있습니다.
  • 출혈, 붓기, 감염, 신경손상 등의 부작용이 나타날 수 있습니다.
  • 수술 전 반드시 의료진과 충분한 상담 후 진행하시길 바랍니다.

상담문의