-
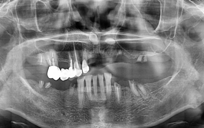
50대 남성, 재수술 임플란트
-
60대 여성, 수면 전체 임플란트 15개 식립
-
80대 남성, 무치악 전체 임플란트 17개 식립
-
60대 남성, 전체 임플란트 17개 식립
- · 위 임상 사진은 서울하늘에치과에서 진료를 시작하고 마친 동일한 환자의 사진입니다.
- · 위 임상 사진은 동일한 조건으로 촬영되었으며, 사진에 대한 별도의 조작이 처리되지 않았습니다.
- · 수술 및 치료 과정에서 부작용이 발생할 수 있으므로 의료진과의 충분한 상담과 신중한 판단이 요구됩니다.