-
2025-03-12
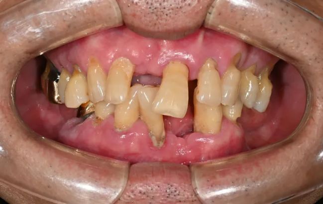
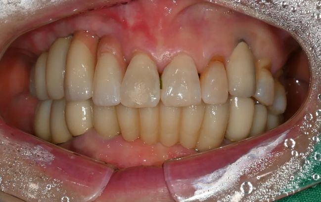
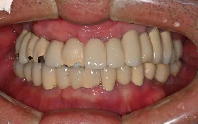
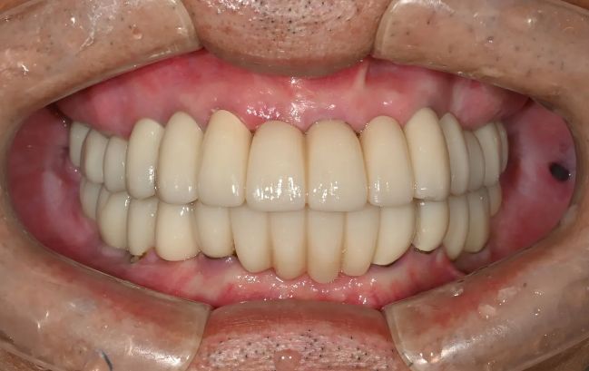
2025-07-2460대 남성, 원데이 수면 전체 임플란트 20개 식립
-
2022-06-30
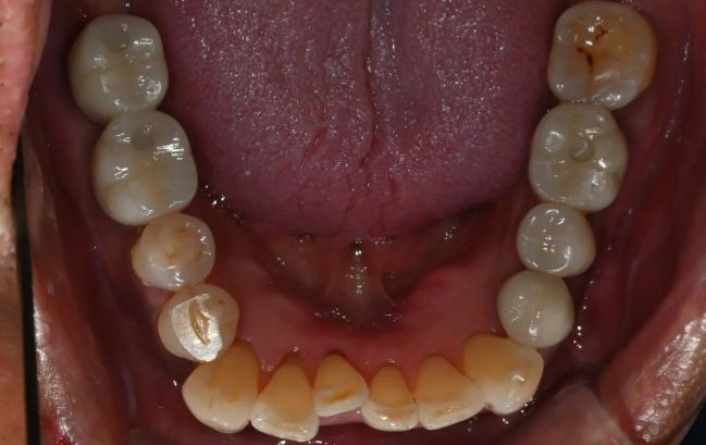
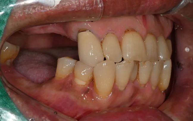
2022-12-2950대 여성, 뼈이식 임플란트 9개 식립
-
2021-11-04
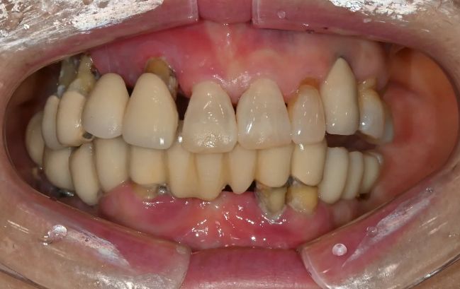
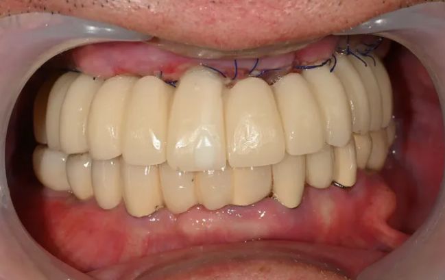
2023-11-1460대 남성, 전신질환(당뇨) 임플란트 9개 식립
-
2021-11-04
2023-11-1460대 남성, 전신질환(당뇨) 임플란트 9개 식립
-
2021-11-04
2023-11-1460대 남성, 전신질환(당뇨) 임플란트 9개 식립
-
2021-11-04
2023-11-1460대 남성, 전신질환(당뇨) 임플란트 9개 식립
-
2025-08-14
2025-08-1860대 남성, 재수술 임플란트(예비치아 장착)
-
2025-05-02
2025-07-2250대 남성, 원데이 수면 전체 임플란트 9개 식립
- · 위 임상 사진은 서울하늘에치과에서 진료를 시작하고 마친 동일한 환자의 사진입니다.
- · 위 임상 사진은 동일한 조건으로 촬영되었으며, 사진에 대한 별도의 조작이 처리되지 않았습니다.
- · 수술 및 치료 과정에서 부작용이 발생할 수 있으므로 의료진과의 충분한 상담과 신중한 판단이 요구됩니다.