-
2025-05-02
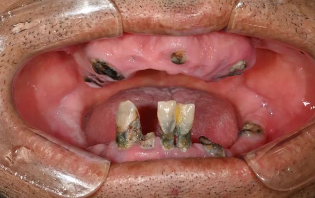
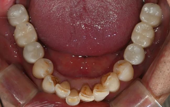
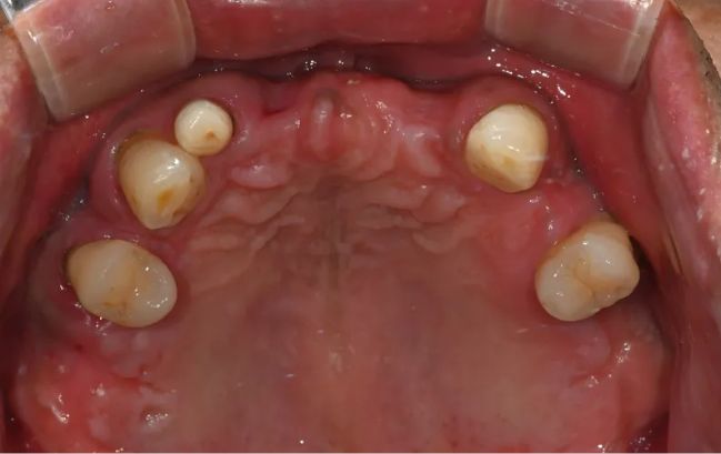
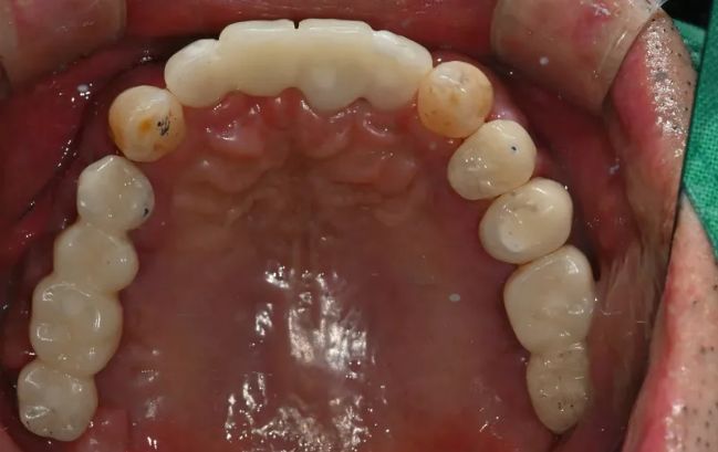
2025-07-2250대 남성, 원데이 수면 전체 임플란트 9개 식립
-
2021-09-06
2022-03-0560대 남성, 수면 전체 임플란트 13개 식립
-
2021-09-06
2022-03-0560대 남성, 수면 전체 임플란트 13개 식립
-
2021-09-06
2022-03-0560대 남성, 수면 전체 임플란트 13개 식립
-
2021-09-06
2022-03-0560대 남성, 수면 전체 임플란트 13개 식립
-
2024-11-09
2025-03-2260대 남성, 전체 임플란트 13개 식립
-
2024-11-09
2024-03-2260대 남성, 전체 임플란트 13개 식립
-
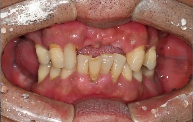
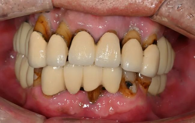
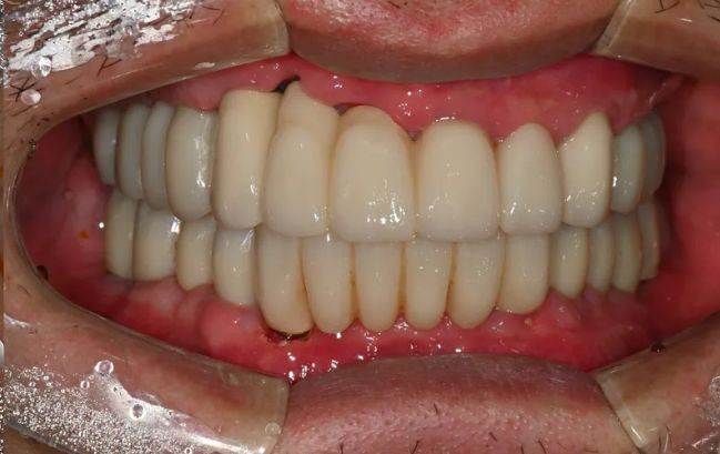
2022-02-03
2022-06-0750대 남성, 원데이 수면 전체 임플란트 19개 식립
- · 위 임상 사진은 서울하늘에치과에서 진료를 시작하고 마친 동일한 환자의 사진입니다.
- · 위 임상 사진은 동일한 조건으로 촬영되었으며, 사진에 대한 별도의 조작이 처리되지 않았습니다.
- · 수술 및 치료 과정에서 부작용이 발생할 수 있으므로 의료진과의 충분한 상담과 신중한 판단이 요구됩니다.